久米歯科 トップページへ トップページへ

ホワイトニング

黄ばんでいたり、黒ずんでいる歯の色を白くします。歯を削らずに、薬品を使って処置しますので、短時間で処置することが出来ますが、白くなる程度には、個人差があります。

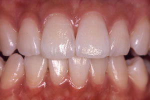
症例1(歯肉漂白およびホワイトニング)

ホワイトニング処置前
ホワイトニング処置後(歯肉漂白後)