|
メタルボンド金属の土台にセラミックを乗せたものを、歯にかぶせます。一部に金属を使っているので、強度があります。また、セラミックは硬質レジンと違い、色の経年変化が少ない素材なので、永く使うことができます。 症例1−上の前歯4本の変色を気にして来院されました。![]() 処置前
![]() メタルボンドで処置しました。
症例2−上の前歯の隙間を気にして来院されました。![]() 処置前
![]() 前歯2本と右1本をメタルボンドで処置しました。
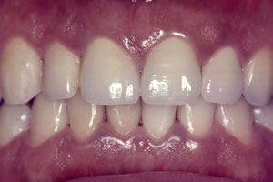
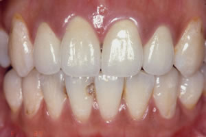
症例3−上の前歯4本の変色を気にして来院されました。![]() 処置前
![]() 上の前歯4本をメタルボンドで処置しました。 |