|
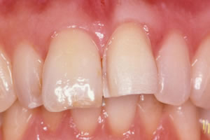
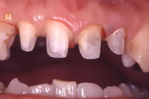
オールセラミック名称の通り、すべてセラミックを使用しているのが特徴です。金属を使用していないので、金属アレルギーなどの心配がありません。また、形によって「ラミネートベニヤ」や「インレー」と呼ばれるものもあります。 ラミネートベニヤは、表面を少しだけ削ってセラミックを貼り付けますので、元の歯を削る量が少なくて済みます。 インレーは、奥歯など部分的に詰め物をする場合に、金属の代わりにセラミックを使用します。 症例1−上の前歯4本の変色を気にして来院されました。![]() 処置前
![]() 形成後
![]() セラミック冠
![]() 上の前歯4本をオールセラミックで処置しました。
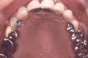
症例2−審美障害と咀嚼(そしゃく)障害で来院されました。![]() 処置前(上あご)
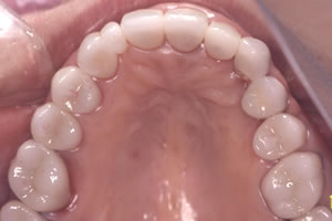
![]() 上あごを全てオールセラミックで処置しました。
![]() 処置前(下あご)
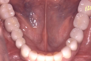
![]() 下あごを全てオールセラミックで処置しました。
![]() 処置後
症例3(ラミネートベニヤ)−事故で歯の一部を破折され、来院されました。![]() 処置前
![]() 表面1層を削除後
![]() ラミネートベニアをセットしました。
症例4(インレー)![]() 形成後(セラミック装着前)
![]() セラミックインレー
![]() 処置後 |