久米歯科 トップページへ トップページへ

その他

治療にこられる患者さんの状態に合わせて、様々な治療を行います。

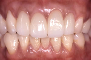
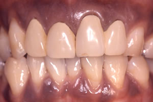
症例1(インプラントおよびオールセラミック)

処置前
オールセラミック冠
処置後

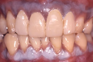
症例2(オールセラミックと歯肉漂白)

処置前
歯肉漂白処置中
処置後