|
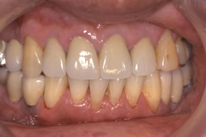
インプラント歯を抜いてしまったりして、元になる歯がない場合に、顎(あご)の骨に人工の歯根を作り、その上に歯を形成します。 歯根になる部分には「チタン」という素材を使いますが、顎(あご)の骨に良くなじむため、自分の歯と同様に使うことが出来ます。 症例1![]() 処置前
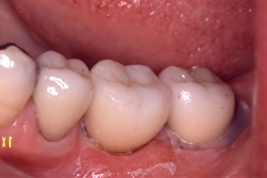
![]() 処置後
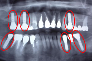
![]() 処置後レントゲン写真
症例2![]() インプラント挿入後
![]() 印象時
![]() 処置後
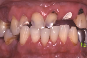
症例3![]() 処置前
![]() 旧入れ歯
![]() 上あご:インプラント処置後、下あご:インプラントベース
![]() インプラント義歯
![]() 処置後
![]() 処置後レントゲン写真
症例4![]() インプラント挿入後
![]() レントゲン写真
![]() セラミック冠
![]() 処置後
症例5![]() 処置前
![]() レントゲン写真
![]() 印象時
![]() 処置後
|