久米歯科 トップページへ トップページへ

歯肉漂白(ブリーチング)

黒ずんだ歯茎の原因になるメラニンを除去し、健康的な色にすることができます。特に、歯茎の色は、笑ったときの印象に影響しますので、歯茎の色が気になる方にお勧めします。

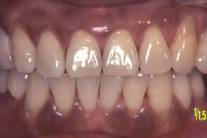
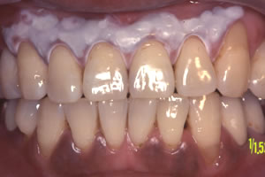
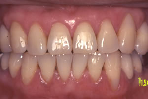
症例1

処置前
処置中
処置後